「オフィスホワイトニングって、本当に白くなるの?」
「1回2,950円って安いけど、効果は大丈夫?」
「しみたり、痛かったりしない?」
そんな不安を感じて、なかなか一歩を踏み出せない方は多いと思います。
実は私自身、歯科衛生士として20年以上患者さんにホワイトニングの施術をしてきましたが、
「自分が“患者として”オフィスホワイトニングを受ける」経験は、意外と多くありませんでした。
そこで今回、
✔ 実際の施術の流れ
✔ 本当に白くなったのか
✔ 痛み・しみの有無
✔ 料金に見合う価値があるのか
を忖度なし・体験者目線で確かめるため、
歯科医院でオフィスホワイトニングを受けてきました。
この記事では、
ネットの口コミでは分からない
**「現場を知る歯科衛生士が、患者として感じたリアル」**を、正直にお伝えします。
✔ オフィスホワイトニングを検討中の方
✔ 安くても失敗したくない方
✔ まず1回試してみたい方
そんな方は、ぜひ最後まで読んでみてください。
今回体験したのは「スターホワイトニング」

今回体験したのは、
全国の主要都市に展開しているスターホワイトニングです。
選んだ理由は、
- 初回料金が明確
- 無理なコース契約がない
- ホワイトニングに特化した歯科医院
という点に安心感と興味があったからです。
予約は本当に簡単?【正直レビュー】
予約はWEBから行いました。
氏名・年齢・メールアドレス・電話番号を入力するだけで、
仕事の休み時間に数分で完了しました。
- 日時はスマホから自由に選択可能
- 前日にリマインドメールあり
- メールから簡単に日時変更も可能
実際、私も15:30 → 16:00に変更しましたが、
電話不要でスムーズでした。
しつこい営業メールもなく、
予約の時点でストレスは一切ありません。
来院時の印象|「歯医者っぽくない」

私が予約したのは千葉市にあるクリニックです。
千葉駅からほど近いビルの7階にありましたが、外から見てすぐ分かる看板があり迷いませんでした。

院内は白を基調とした明るい空間で、
- 歯医者特有のにおいがない
- 清潔感がある
- 美容クリニック寄りの雰囲気
待合室・パウダールーム・チェアーまでとても清潔。

特に印象的だったのは施術用のチェアーで、
一般的な歯科チェアというより
高級ソファのようにふかふか。
包み込まれるような感覚で、安心感がありました。
待ち時間もほぼなく、
来院からすぐに案内されました。
カウンセリングは?勧誘はある?

まず歯科衛生士が問診票を確認し、
その後、歯科医師が口腔内をチェック。
むし歯・歯石の有無・歯の色や歯面の状態を確認したうえで、
歯科衛生士が状態に合ったホワイトニングをわかりやすく説明してくれました。
選べるホワイトニングは主に3種類

各ホワイトニングプランの違いについて
今回説明を受けたホワイトニングは、
**主に「過酸化水素の濃度」と「施術設計や光照射時間」**に違いがありました。
- スペシャル:過酸化水素40%
短期間で白さを出したいかた向け。効果重視の設計 - プレミア:過酸化水素40%
効果はしっかり出しつつ、しみにくさを考慮した設計 - スタンダード:過酸化水素35%
価格を抑えて、回数を重ねながら白くしていく設計
ここで誤解されやすい点として、
スタンダード=効果が弱いというわけではありません。
スタンダードで使用されている過酸化水素35%は、
歯科医院で行う医療ホワイトニングとして一般的に使われている濃度です。
低濃度ということは全くありません。
「まずは試してみたい」「しみやすさが心配」という方にとっては、
スタンダードから始めるのも、十分現実的な選択肢だと感じました。
今回は、まずは様子見として2,950円(税込)のホワイトニングを1回だけ試すつもりでクリニックを訪れました。
ただ、カウンセリングで説明を聞く中で、
「回数を抑えつつ、1回でより高い効果を出したい場合はスペシャルコースが向いている」
という話がありました。
私自身、歯科衛生士という立場もあり、
- 本当にどこまで白くなるのか
- 高出力のホワイトニングでどの程度しみるのか
という点を、実体験として確かめてみたい気持ちが強くなりました。
そのため今回は、**一般的な利用というより「検証目的」**として、
**スペシャルコース(33,900円/税込)**を選択しています。
なお、「まずは試してみたい」「しみやすさが不安」という方であれば、
2,950円のスタンダードから始める選択も十分アリだと感じました。
歯科衛生士として感じた安心ポイント

- デメリット(しみやすさ・後戻り)もきちんと説明
- 質問しやすい雰囲気
- 初心者にも分かりやすい言葉選び
回数券の説明はありましたが、
「今回は1回だけ試したい」と伝えると、すんなりOK。
ガツガツした勧誘は一切なく、
「また気になったら来てくださいね」という、ほどよい距離感でした。
歯科衛生士の立場から見ても、
この対応は「初めてオフィスホワイトニングを受ける方」にとって、
かなり安心できるポイントだと感じました。
実際、
・いきなり高額なコースは不安
・まずは効果やしみやすさを知りたい
・でも、適当なホワイトニングで失敗したくない
そんな方にとって、
初回2,950円で医療ホワイトニングを体験できるというのは、
正直かなりハードルが低く、現実的な選択肢です。
ここまで読んで、
「意外とちゃんとしてそう」
「まずは1回、試してみたいかも」
と感じた方なら、
歯科衛生士としても、
“最初の1回目”に選びやすいホワイトニングだと思います。

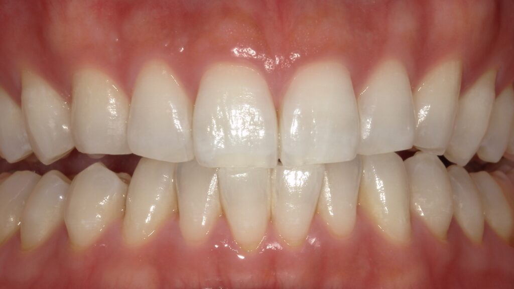
施術前の歯の状態

施術前の歯の色はA3。
犬歯がやや暗めで、全体的には「そこそこ白い」状態。
- むし歯・歯周病なし
- 下の前歯はホームホワイトニングでしみやすい
- 上の前歯にうっすらヒビあり
この状態で、
今回は効果重視でスペシャルコースを選択しました。
施術中のリアルな体感

施術時間はトータルで約45分。
- ホワイトニング塗布
- 15分の光照射 ×2回
- 歯肉の保護・施術後の研磨
薬剤の刺激感はまったくなし。
タオルをかけるので光のまぶしさも気になりませんでした。
声かけもこまめで、
「しみていませんか?」と都度確認してくれます。
唾液が飲み込みにくい時間帯は少しありましたが、
それ以外はとても快適で、
正直「寝てしまう人がいるのも分かるな」という印象です。
施術直後の変化に正直びっくり

施術後の歯の色はC1。
シェードガイド上では3段階ほどですが、
見た目は明らかに白くなりました。
鏡を見た瞬間の感想は、
「え、めっちゃ白い…!」

ホームホワイトニング経験があったことも影響しているそうですが、
1回で十分満足できる白さになりました。
正直、
「どうせなら効果が出るほうを」と
スペシャルを選んで正解だったと思います。
施術後・翌日の状態
- 知覚過敏:翌日のみ若干の違和感あり
- 日常生活への影響:ほぼなし
翌日の夕方に数時間若干しみるかなと感じる程度で、
痛みや不快感はほぼなし。
食事制限は、
赤ワインは控え、コーヒーは普通に飲みました。
飲んだ後に軽くうがい・歯磨きを意識した程度で、
神経質になる必要はありませんでした。
総合評価|歯科衛生士の本音

待合室から居心地の良さと清潔感にあふれ、スタッフの皆さんも丁寧で親切でした。
施術もていねいで安心感のある声掛けもあり、
ホワイトニング初心者から経験者まで、満足しやすい内容だと感じました。
ただし、
1回で理想の白さに到達するわけではありません。
こんな人におすすめ
- 歯のトラブルがなく、白くしたい目的が明確な人
- 初めてオフィスホワイトニングを試したい人
- 勧誘が不安な人
こんな人には向かないかも
- むし歯・歯周病の治療が目的の人
- レントゲンや定期健診を受けたい人
※一般歯科での治療が目的の場合は、
まずはかかりつけ歯科がおすすめです。
まとめ|まずは1回、体験してみる価値あり
スターホワイトニングは、
・料金が分かりやすい
・ガツガツした勧誘がない
・短時間でも効果を実感しやすい
といった点から、
「ホワイトニングが気になっているけど、なかなか踏み出せない」
そんな方にとって、かなり始めやすい選択肢だと感じました。
正直、
・いきなり数万円は不安
・でも、安すぎて効果がないのもイヤ
・勧誘されるのはもっとイヤ
そう感じている方ほど、
まず2,950円でオフィス(医療)ホワイトニングを体験できるという点は、
現実的で、安心して選びやすいポイントだと思います。
※無理なコース契約や勧誘はありません。
「今回は1回だけ試したい」と伝えても問題ありませんでした。
ここまで読んで、
「ちょっと試してみたいかも」
「自分の歯がどこまで白くなるか知りたい」
と感じた方は、
初回ホワイトニングの内容や空き状況を確認✨

【監修・執筆】とうま
日本歯周病学会認定歯科衛生士/歯科臨床麻酔認定歯科衛生士/ホワイトニングコーディネーター
20年以上の臨床経験を基に、日本歯周病学会認定歯科衛生士をはじめとする複数の専門資格を有し、質の高い医療提供を追求している。
予防歯科、歯周治療、ホワイトニング分野を中心に、専門的知識をわかりやすく伝え、患者さんやそのご家族が安心できる情報を発信。
千葉県市原市で歯医者をお探しなら

「ちはら台モールマイクロ歯科」がおすすめです!
「しっかり治したい」「納得できる説明を受けたい」「痛くない治療を受けたい」
そんな方に選ばれている歯科医院をご存じですか?
ちはら台モールマイクロ歯科は、
マイクロスコープ(歯科用顕微鏡)を活用した精密な治療と、
わかりやすく丁寧なカウンセリングで、
幅広い世代の患者さんに支持されている歯科医院です。
▷ 特にこんな方におすすめ!
- 他院で「抜くしかない」と言われてしまった方
- 根の治療(根管治療)をやり直したい方
- インプラントやホワイトニングなど、質の高い自費治療を希望される方
- 「歯をできるだけ残したい」と本気で考えている方
完全予約制で、待ち時間も最小限。
落ち着いた空間で、丁寧に向き合ってくれる治療を受けたい方は、
一度カウンセリングを受けてみてはいかがでしょうか?
📍千葉県市原市ちはら台モール内
🦷 ちはら台モールマイクロ歯科 公式サイトはこちら



コメント